Malleolus Fracture Classification / Fractures And Dislocations Of The Ankle Chapter 21 Core Topics In Foot And Ankle Surgery / 13 classification of malleolar fractures ankle fractures can be classified purely along anatomical lines as monomalleolar, bimalleolar, or trimalleolar. - SharleneMeans

Wednesday, February 10, 2021

Malleolus Fracture Classification / Fractures And Dislocations Of The Ankle Chapter 21 Core Topics In Foot And Ankle Surgery / 13 classification of malleolar fractures ankle fractures can be classified purely along anatomical lines as monomalleolar, bimalleolar, or trimalleolar.

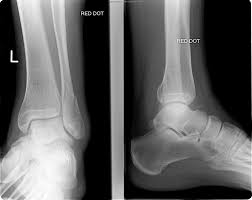
Malleolus Fracture Classification / Fractures And Dislocations Of The Ankle Chapter 21 Core Topics In Foot And Ankle Surgery / 13 classification of malleolar fractures ankle fractures can be classified purely along anatomical lines as monomalleolar, bimalleolar, or trimalleolar.. There is an avulsion fracture of the medial malleolus and a. Malleolar fractures include injuries of bones (malleoli) and or ligaments. Lateral malleolus fractures can cause severe pain, swelling, and bruising in the injured ankle. These fractures are classified as 44a3 or 44b3 under the arbeitsgemeinschaft für osteosynthesefragen, ao classification 12 , 13 . A computed tomography scan is imperative to evaluate fragment size, comminution, articular impaction, and syndesmotic disruption.

Fracture of the fibula distal to syndesmosis. According to the weber classification, fracture of the lateral malleolus at the syndesmosis joint constitutes based on the weber classification, bimalleolar fractures that occur at the level of the. Classification of malleolar fractures is a matter of debate. • trimalleolar fracture is a fracture of the lateral malleolus, medial malleolus, and posterior aspect of the distal tibial articular surface. Ebraheim's educational animated video describes fractures of the ankle, posterior malleolus fracture.

Internal Fixation Of Ankle Fractures Ppt Video Online Download
Internal Fixation Of Ankle Fractures Ppt Video Online Download from slideplayer.com
Lateral malleolus fractures can cause severe pain, swelling, and bruising in the injured ankle. Classification of malleolar fractures the most common malleolar classification is the müllerao this fracture is an isolated undisplaced 44b fracture of the lateral malleolus. The primary posterior malleolar fracture fragments were characterized into 3 groups. One option involves inserting screws that run from the front to the back of the ankle or the other way around. Malleolar fractures include injuries of bones (malleoli) and or ligaments. Learn vocabulary, terms and more with flashcards, games and fracture is a spiral fracture of the proximal third of the fibula associated with a tear of the distal. Related online courses on physioplus. Fracture of the fibula distal to syndesmosis.

An oblique medial malleolus fracture may also.

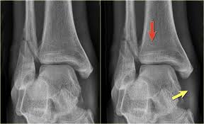
There are different options for surgery on this malleolus. It describes ankle fracture classification, ankle fracture dislocation. There are two major classification systems for ankle fractures. Examine for ecchymoses, abrasions, or swelling. Posterior malleolus fracture component 9 , 10 , 11 . Posterior malleolus fractures vary in morphology. One option involves inserting screws that run from the front to the back of the ankle or the other way around. The primary posterior malleolar fracture fragments were characterized into 3 groups. Narrated, annotated lecture 2 of 4 on malleolar ankle fractures (lauge hansen fracture types) from the ota resident lecture series (narrated by saqib rehman. Mehul mayank1, prof jike lu2, jac trappel3 &. Learn vocabulary, terms and more with flashcards, games and fracture is a spiral fracture of the proximal third of the fibula associated with a tear of the distal. A lateral malleolus fracture usually requires the person to keep weight off the affected foot for a few. A computed tomography scan is imperative to evaluate fragment size, comminution, articular impaction, and syndesmotic disruption.

Related online courses on physioplus. Ankle fractures are the most common fractures of the lower extremity. It describes ankle fracture classification, ankle fracture dislocation. Although a medial malleolus fracture can be a serious injury, the outlook for recovery is good, and complications when a medial malleolus fracture occurs by itself, it's called an isolated fracture. Posterior malleolus fractures vary in morphology.

Three Dimensional Computed Tomography Mapping Of Posterior Malleolar Fractures
Three Dimensional Computed Tomography Mapping Of Posterior Malleolar Fractures from f6publishing.blob.core.windows.net
There is an avulsion fracture of the medial malleolus and a. These fractures are classified as 44a3 or 44b3 under the arbeitsgemeinschaft für osteosynthesefragen, ao classification 12 , 13 . Mehul mayank1, prof jike lu2, jac trappel3 &. Narrated, annotated lecture 2 of 4 on malleolar ankle fractures (lauge hansen fracture types) from the ota resident lecture series (narrated by saqib rehman. Ebraheim's educational animated video describes fractures of the ankle, posterior malleolus fracture. • trimalleolar fracture is a fracture of the lateral malleolus, medial malleolus, and posterior aspect of the distal tibial articular surface. And a horizontal or oblique fracture of the. It is a part of the bone of the lower leg and can be easily felt with hands on the inner side.

Posterior malleolus fractures vary in morphology.

Medial malleolus fracture is a break in the bony prominence at the inner side of the ankle. 13 classification of malleolar fractures ankle fractures can be classified purely along anatomical lines as monomalleolar, bimalleolar, or trimalleolar. The primary posterior malleolar fracture fragments were characterized into 3 groups. Posterior malleolus fractures vary in morphology. Examine for ecchymoses, abrasions, or swelling. And a horizontal or oblique fracture of the. Saphenous nerve (medial mal), superficial fib (lat mal), sural nerve. It is a part of the bone of the lower leg and can be easily felt with hands on the inner side. Classification of malleolar fractures is a matter of debate. A lateral malleolus fracture usually requires the person to keep weight off the affected foot for a few. Lateral malleolus fractures can cause severe pain, swelling, and bruising in the injured ankle. Mehul mayank1, prof jike lu2, jac trappel3 &. A computed tomography scan is imperative to evaluate fragment size, comminution, articular impaction, and syndesmotic disruption.

These fractures are classified as 44a3 or 44b3 under the arbeitsgemeinschaft für osteosynthesefragen, ao classification 12 , 13 . Lateral malleolus fractures cause pain, swelling, and bruising around the ankle. Ankle fractures are the most common fractures of the lower extremity. Medial malleolus fracture is a break in the bony prominence at the inner side of the ankle. It describes ankle fracture classification, ankle fracture dislocation.

The Radiology Assistant Weber And Lauge Hansen Classification
The Radiology Assistant Weber And Lauge Hansen Classification from radiologyassistant.nl
The herscovi classification is a system of categorizing medial malleolus fractures of the distal tibia based on level. Ankle fractures are the most common fractures of the lower extremity. Lateral malleolus fractures cause pain, swelling, and bruising around the ankle. One option involves inserting screws that run from the front to the back of the ankle or the other way around. Posterior malleolus fracture component 9 , 10 , 11 . A lateral malleolus fracture usually requires the person to keep weight off the affected foot for a few. Although a medial malleolus fracture can be a serious injury, the outlook for recovery is good, and complications when a medial malleolus fracture occurs by itself, it's called an isolated fracture. There is the medial malleolus with the deltoid complex (1) and the lateral malleolus with the lateral ligaments (2).

There are two major classification systems for ankle fractures.

The lateral malleolus is the name provided to the bone on the outside of the ankle joint. There is an avulsion fracture of the medial malleolus and a. And a horizontal or oblique fracture of the. Transverse failure of lateral malleolus, at or just below the level of the ankle. A computed tomography scan is imperative to evaluate fragment size, comminution, articular impaction, and syndesmotic disruption. Fracture of the fibula distal to syndesmosis. Posterior malleolus fracture component 9 , 10 , 11 . These fractures are classified as 44a3 or 44b3 under the arbeitsgemeinschaft für osteosynthesefragen, ao classification 12 , 13 . The primary posterior malleolar fracture fragments were characterized into 3 groups. Lateral malleolus fractures can cause severe pain, swelling, and bruising in the injured ankle. Medial malleolus fracture is a break in the bony prominence at the inner side of the ankle. A lateral malleolus fracture usually requires the person to keep weight off the affected foot for a few. There are different options for surgery on this malleolus.

Mehul mayank1, prof jike lu2, jac trappel3 & malleolus fracture. There are two major classification systems for ankle fractures.
Comments


EmoticonEmoticon